Skip Menu
Continue
Existing Patients: (815) 634-8009
New Patients: (815) 518-2598
595 N. Broadway St, Coal City, IL 60416
Logo
  • Home
  • About Us
    • Our Office
    • New Patients
    • Smile Gallery
    • Dental Videos
    • Testimonials
  • Our Doctors
    • Peter J. Pullara, Jr., DDS
    • Kristin Vaught, DMD
  • Services
      • All on 4®
      • Invisalign®
      • Cosmetic Dentistry
      • Implant Dentistry
      • Ceramic Crowns
      • Dental Bridges
      • Dentures
      • Partial Dentures
      • Extractions
      • Dental Fillings
      • Veneers
      • Sealants
      • Dental Cleanings
      • Root Canals
      • Night Guards
      • Snoring Appliances
      • Sports Mouthguards
      • Toothaches
      • Periodontal Treatment
      • Snap-On Smiles
      • Botox®
      • Dermal Fillers
    • View All
  • Dental Health
  • Contact
    • Contact Us
    • Request Appointment

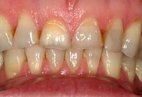
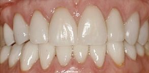
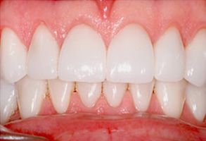
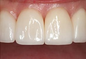
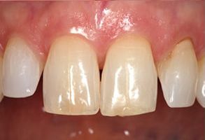
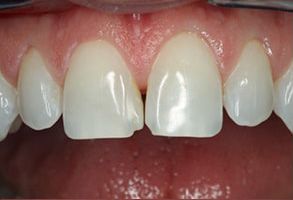
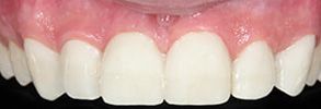
Smile Gallery

595 N. Broadway St,
Coal City, IL 60416

Existing Patients: (815) 634-8009

New Patients: (815) 518-2598